
Everyone experiences foot pain at some point in their lives. However, some people have chronic issues that are caused by foot deformities. Some foot deformities are congenital, which means they develop when you are born. Many foot deformities form as you get older.
Here are the most common types of foot deformities to be aware of.
Hammertoe
If you experience blisters or irritation on the knuckles of your toes when you slip on a pair of sneakers or close-toed shoes, you may have a hammertoe. Aside from discomfort, a dead giveaway of a hammertoe is an uncompromising bend or bulge in the joint on one or more of your toes. This easily observable trait is the result of an imbalance in the muscle and ligament surrounding the affected joint. All hammertoes are treatable to a certain extent, but flexible hammertoe – meaning the joints are deformed but not yet unaligned – is the most easily treated. Hammertoe severity increases over time, so early diagnosis and treatment are imperative.
In some cases, inserts or special shoes can greatly aid in hammertoe agitation. In more severe cases, surgery may be needed. In all cases, however, be sure to consult with your doctor for the best podiatric action, as hammertoe can lead to serious complications for some patients.
Claw Toe and Mallet Toe
While unflattering, the term “claw toe” is indicative of the deformity’s physical attribute. In other words, a person with claw toe has an unintentional, uncontrollable bend in the toes at both the top and middle joints, forming a “claw” shape. While improper footwear — such as shoes that are too small or too narrow against the toes — can result in this condition, claw toe is also a byproduct of nerve issues or muscle weakening following injury or illness. A claw toe doesn’t always cause symptoms. However, you may experience pain from the curled toes rubbing against the inside of your shoe.
Similar to claw toe, mallet toe is a condition in which only the top joint of the toe is affected, causing your toe to bend at the first knuckle. While typically minor conditions, claw toe and mallet toe — like hammertoe — should be addressed by a podiatrist.
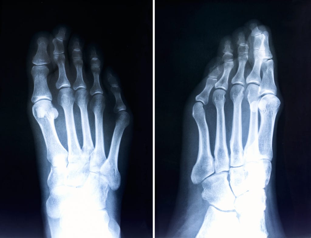
Bunions
Bunions are hard bumps that form over time at the upper, inside region of your foot, right below the big toe. Bunions tend to cause discomfort, as rubbing against the inside of your shoes can cause blisters or calluses. Because the misalignment is at the base of the body (your feet), the improper distribution of weight when you walk can cause unnatural pressure on unintended areas of the foot. Like hammertoe, claw toe, and mallet toe, bunions can form as a result of genetics, but impractical footwear can also cause and exacerbate the problem.
Treatment
Cody Togher, DPM of the Joint Replacement Institute is an experienced podiatrist who specializes in foot deformity correction and treatment.
In many cases of foot deformity, simple measures can relieve pain and even aid in deformity reversal. In some instances, surgery is an option, but Dr. Togher may first suggest splints, wraps, inserts, or a new pair of shoes, if appropriate.
If you’ve got foot pain, discomfort or cosmetic issues, contact the Joint Replacement Institute at (239) 261-2663 to schedule an appointment. You can also schedule a podiatric consultation online.